Как сохранить идеальную улыбку?

Natali 07 ноября 2010
Как сохранить идеальную улыбку?

Идеальная улыбка – это ровный ряд красивых и здоровых зубов. Сегодня идеальной улыбкой похвастать могут немногие, несмотря на то, что результаты социологических опросов показывают важность здоровья зубов по мнению большинства Россиян. Тем не менее ситуация поправима, современная эстетическая стоматология позволяет исправить практически любой косметический недостаток в ротовой полости.

Причин для утраты зубами естественной формы и цвета может быть множество. Пагубно воздействуют на зубы вредные привычки, например, курение или излишнее потребление кофе. Окружающая среда в больших городах оставляет желать лучшего. Кроме того, если человек имеет какие-либо хронические заболевания пищеварительного тракта или кровеносной системы – это также отражается на состоянии эмали зубов. Как видите, причин для утраты зубами естественного цвета эмали – предостаточно. Это объясняет постоянно растущий спрос на услуги эстетической стоматологии. Практически любая профессиональная стоматологическая клиника в Петербурге сегодня предложит вам услугу по восстановлению цвета эмали – отбеливание зубов. Процедура заключается в следующем – на зубы пациента наносится специальный отбеливающий состав, который нейтрализует красящий пигмент. При необходимости защитить зубы от дальнейшего окрашивания возможно применение фтора. Процедура безболезненная и занимает около получаса.

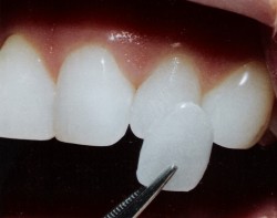
В том случае если вам необходимо изменить не только цвет эмали, но и форму зубов, на помощь придут виниры. Виниры – специальные пластинки для реставрации зубов. Такая пластинка накладывается на переднюю поверхность зуба и закрепляется при помощи специального цемента. Любой косметический недостаток, будь то трещина, скол или другое повреждение может быть скрыт при помощи данной пластинки. Виниры имеют толщину около 0,5 миллиметра и устанавливаются в два этапа. В первый визит к стоматологу с ваших зубов будут сняты слепки, которые позволят сделать индивидуальный и идеально подходящий вам винир. На втором этапе происходит непосредственно установка винира. Сегодня виниры позволяют решать не только косметологические задачи, но и более сложные, например, исправление прикуса.

Комментарии

Тут в статье упомянуто понятие "восстановление цвета эмали - отбеливание зубов". Так вот, как врач-стоматолог, я вам сообщаю, что настоящий цвет эмали у словян не ослепительно белый, а сероватый или желтоватый. Именно такой, который мы видим у 99,9% людей. А ослепительно белый цвет эмали встречается только у африканцев или негров. А белые зубы кинозвезд - всего лишь очередная модная тенденция вредная для зубов.